head-addr216 Street at 88 Avenue Langley, British Columbia

head-phn604.882.8280

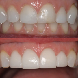
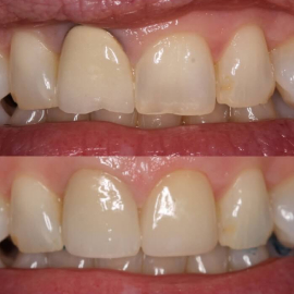
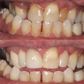
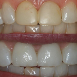
Ceramics can make a smile look nice again

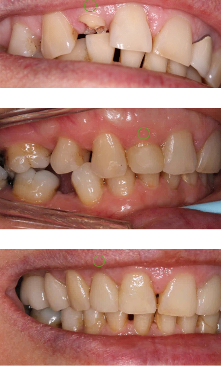
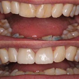
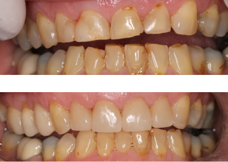
Changes in bite position with comprehensive treatment

When there is insufficient space to restore teeth

Opening the bite position provides a more stable
position also protecting the front teeth

Original bite position

Opened bite with upper restorations

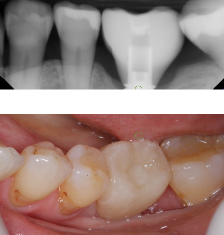
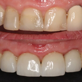
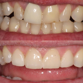
Implant supported teeth

Implant bridge

Single tooth implant